インプラント
久喜総合歯科の
インプラント治療が
選ばれる5つの特徴
年間治療数500本越えの実績
当院はグループ医院含め、年間500本以上のインプラントを行っております。
他院で断られたケースも対応可能な場合がありますので、まずは一度ご相談にいらしてください。
「患者さんに優しい
4Sコンセプト」を基本とした
インプラント治療
当院では、患者さんに優しい4Sコンセプトを基本とした抜歯即時埋入のインプラント治療を行なっています。
4SコンセプトとはShort (短期間治療)、Simple (シンプル)、Small (最小限)、Safe (安全) を基本とした、
4つの「S」からなる患者目線のやさしいインプラント治療のことを言います。
- Short(短期間治療)
- Simple(シンプル)
- Small(なるべく小さな外科処置)
- Safe(安全)
質の高いインプラント治療
「抜歯後即時埋入・抜歯後早期埋入」
従来の一般的なインプラント治療では、歯を抜いた後、骨ができるまで3~6ヶ月待ってからインプラントを埋入するため、その間に骨が吸収を起こしてしまい、インプラントを埋入する時には、多くの場合、小さくなった顎に骨を造成する大掛かりな手術(GBR などの骨造成手術)が必要となります。このような治療では、手術後の腫れ・痛みが出やすいだけでなく、治療期間も長くなり (7ヶ月~1年以上) 、治療費も高くなってしまいます。
それらの欠点を補うため、当院では主に、抜歯後即時埋入 (抜歯と同時にインプラントを埋入する方法) 、抜歯後早期埋入 (抜歯後1ヶ月ほどでインプラントを埋入する方法) という術式でインプラント治療を行っています。
これらの方法では、抜歯後のあごの骨の吸収が起こる前に、吸収を抑えながらインプラントを埋入するため、小さな手術で、短期間で (早い場合で3ヶ月ほどで歯が出来上がります。) 、質の高いインプラント治療が行なえます。
※抜歯後即時埋入・抜歯後早期埋入は、抜歯後の複雑な形態のあごの骨に対して、その後の骨の吸収・歯肉の治癒形態を予測してインプラントを埋入するため、特別な知識、技術を要します。
抜歯後即時埋入治療
抜歯後即時埋入治療では抜歯と同時にインプラント埋入を行い、その後2ヶ月程度で被せ物の歯を取り付けます。
抜歯後に骨の吸収が起こる前にインプラントを埋入するため、顎の骨が痩せてしまい余計な治療を行う必要がなくなります。
即時荷重インプラントのメリット
- 治療期間が短い(最短1ヶ月半ほど)
- 少ない治療回数で治療を行うことが出来るため、患者さんの負担が少ない(治療回数は最低で1回)
- 複雑な治療を行わないため、
傷口の回復が早い
即時荷重インプラントのデメリット
- 全ての患者さんに適用できる治療法ではない
※即時荷重インプラントは全ての患者さんに適用できる治療法ではございません。
そのため治療を受ける前に自分が即時荷重を受けることができるか確認する必要があります。
即時荷重インプラントができる条件
- インプラントを埋入する骨の厚みが十分にある
- 周囲の歯に虫歯や歯周病がない
- インプラントを埋入する骨に欠損等がない
上記の条件をすべて満たしている患者さんは即時荷重インプラントを行うことができる条件を満たしております。
即時荷重インプラントをご希望の方は、カウンセリング時にご相談ください。
患者さんの口腔内の状態を見た上で判断いたします。
ストローマン社製の
インプラントを使用
当院は、世界No.1シェアであるスイスのストローマン社製のインプラントのみを使用しており、引っ越し先や旅行先などでメンテナンスが必要な時にも、もっとも普及し実績のあるインプラントメーカーであれば、他の歯科医院でもメンテナンスなどができる確率があがります。ストローマンインプラントは、国内のメジャーな大学病院でも使用されており、臨床実績が豊富だからこそ、多くの歯科医師から信頼を集めています。
メガジェン社製の
エクストラワイド
ショートインプラントを使用
メガジェン社製のエクストラワイドショートインプラントは、骨量不足の患者様に適したインプラント治療法です。直径が約7.0mm〜8.0mmと太く、長さは約7.0mm以下の短い形状で、骨との接触面積を広げ、強力な初期固定を実現できます。従来のインプラントは、長さを活かして骨に深く埋め込む方法ですが、顎の骨の高さが足りない場合、治療が困難です。対してエクストラワイドショートインプラントは、短い長さを太い直径で補い、強力な初期固定を得ることで、骨造成を最小限に抑えられます。
とくに上顎の奥歯や下顎の奥歯では、骨が薄いため治療時のリスクが高いです。上顎には上顎洞、下顎には下歯槽神経があり、これらの部位では従来のインプラント治療が難しいです。しかし、エクストラワイドショートインプラントは、太い直径と短い長さで、これらのリスクを回避し、安全にインプラントを埋入できます。エクストラワイドショートインプラントは、骨量不足の部位でも治療を可能にする新しい選択肢です。
東京医科歯科大学
インプラント科所属の
歯科医師が在籍
日本補綴歯科学会指導医でもある当院長とともに、東京医科歯科大学所属の口腔インプラント学会専門医と日本補綴歯科学会専門医(インプラント、入れ歯、ブリッジを含めた被せ物の専門医)がおります。複数のインプラント治療の臨床実績が豊富な歯科医師が在籍することで、複数の知見からインプラント治療を提供することが可能です。
インプラント治療で目指せる未来
- 自分の歯のように
しっかり噛めて食事を楽しめる - 見た目が自然で美しい口元を実現できる
- 顎の骨が痩せるのを防ぎ
若々しい印象を保てる - 自信を取り戻し毎日をいきいきと過ごせる
インプラント治療を受ける際の注意点
外科手術が必要になる
インプラント治療には外科手術がともない、歯茎を切開し顎の骨にインプラント体を埋め込む手術をおこないます。手術と聞くと不安を感じる方も多いかもしれません。しかし、手術は局所麻酔を効かせておこなうため、痛みを感じることはほとんどありません。安心して治療に臨んでいただけるよう万全の体制を整えています。
保険適用外で費用が高額になる
インプラント治療は基本的に、公的医療保険が適用されない自由診療です。入れ歯やブリッジに比べ費用が高額になる傾向があります。ただし、治療費は医療費控除の対象となり税金の還付を受けられる場合があります。当院は、クレジットカードやデンタルローンなどの支払い方法もご用意しています。費用に関する不安もカウンセリングで遠慮なくご相談ください。
カウンセリングの流れ
- カウンセリングの申込みまずはお電話かWeb予約フォームよりカウンセリングを申込み下さい。
- 来院予約日に来院していただき、問診表の記入をお願いします。現在の体調や服用している薬など、治療に必要な情報をお伝えください。
- ドクターによるカウンセリング現在のお悩みについてお聞かせください。患者様の症例に対して、最適な治療方法をご提案させていただきます。カウンセリング時の説明には、実際の被せ物やインプラント、画像などをお見せしながら、治療方法・治療日数などを患者様に分かりやすくご説明いたします。
- 御見積書の作成ご提案した治療方法のお見積書を作成し、お渡しいたします。カウンセリングを受けたとしても、必ずしも治療を受ける必要はございません
- 治療日の予約治療方法と治療費用にご納得いただけましたら、ご予約へとお進みください。
インプラント治療の流れ
- 口腔内検査レントゲン撮影や歯型採取によって歯や歯茎、顎の骨の状態を検査します。治療方法には、失われた歯の本数、骨の硬さや大きさなどによって複数の選択肢があるため、検査結果をもとに最終的な治療計画を立てます。
- 手術前の処置治療検査の段階で虫歯や歯周病が見つかった場合は、先にこちらの治療を行います。仮に重度の虫歯になっていた場合は抜歯をすることがあります。抜歯をした場合は、患部が治癒されてからインプラント治療を行います。
- インプラント埋め込みインプラントを埋め込む手術を行います。手術中は局所麻酔(部分麻酔)を使用しているため痛みはほとんどありませんので、ご安心ください。
- 結合治癒期間2〜3ヵ月の結合治癒期間を設けることで、インプラントと骨が強い力で結合します。結合治癒期間中は、インプラントを埋入させた状態で歯茎を縫い合わせて、結合治癒を待ちます。手術後の数日間は抗生剤や炎症を抑える薬を服用いただきます。
- 補綴物(人工歯)の作成・装着インプラントに被せる義歯を作成して、装着します。
- 術後のケアと定期健診治療後はご自宅でのケアと定期健診で経過観察を行います。手術後から1週間後に健診を行い、その後は数ヵ月に1回定期健診を受けていただきます。
インプラント・入れ歯・
ブリッジの違い
インプラント
| 保険 | なし(条件によってはあり) |
|---|---|
| 治療方法 | 失った歯の位置にインプラント(人工の歯根)を埋め込み、義歯を取り付ける。 |
| メリット | 天然歯とほぼ同じ審美性。周囲の歯を傷つけることがない。噛む力が天然歯とほぼ同じ。他の歯との噛み合わせが安定する。 |
| デメリット | 手術が必要。骨組織によっては治療期間が長くなる。保険が適用されない。場合によって治療ができない。 |
| 寿命 | 10〜30年程度 |
| 治療期間 | 3〜6ヵ月 |
入れ歯
| 保険 | あり |
|---|---|
| 治療方法 | 失った歯の部分に、人工の歯を人工樹脂で連結させる。 |
| メリット | 複数本の歯を失った場合でも対応できる。バリエーションが豊富。保険が適用されるため安価で治療ができる。 |
| デメリット | 固定する留め金に汚れがたまりやすい。天然歯の寿命を縮めることがある。審美性に欠ける。食べ物の熱が伝わりにくい。固いものが食べづらい。 |
| 寿命 | 3〜4年周期に修理や交換が必要 |
| 治療期間 | 1〜3ヵ月 |
ブリッジ
| 保険 | あり |
|---|---|
| 治療方法 | 失った歯の隣接歯を削り、失った歯とその隣接歯を連結した被せ物をはめる。 |
| メリット | 入れ歯と比べた場合、安定感があり違和感が少ない。保険が適用されるため安価で治療ができる。治療期間が短い。 |
| デメリット | 歯を削る必要がある。自然歯の寿命が短くなることがある。発音に影響がでることがある。食べかすがつまり不衛生になりやすい。 |
| 寿命 | 5〜10年周期に交換が必要 |
| 治療期間 | 1ヵ月未満 |
特殊外科
骨造成(GBR)
インプラントを埋め込むために必要な骨量が足りない場合、骨造成(GBR)をおこないます。
これは、特殊な膜を用いて骨の再生を促す治療法です。骨の厚みや高さを増やすことでインプラントの土台を安定させやすく、骨量が原因で治療を諦めていた方でもインプラントが可能となります。安全な治療のために、しっかりとした土台作りをおこないます。
サイナスリフト
上の奥歯部分の骨が薄い患者様には、サイナスリフトという特殊な骨造成術をおこないます。上顎洞(サイナス)という空洞の底部分に骨を補い、インプラントに必要な骨の厚みを確保します。
高度な技術を要する専門的な外科処置ですが、この技術により、上の奥歯へのインプラント治療も安全におこなうことが可能です。難症例にも対応できる、当院の技術力のひとつです。
セカンドオピニオン
セカンドオピニオンとは、主治医以外の歯科医師に意見を求めることです。当院では、インプラントよりも入れ歯の方がライフステージを考慮して優れていると判断した場合、入れ歯でのご提案をすることもございます。
例えば、インプラントはセルフケアが必須でございますが、高齢者でセルフケアが困難な方にとっては入れ歯の方が圧倒的に予後がよい場合があります。当院はインプラントも自費の入れ歯も多様な選択肢と専門性があるので、トータルで提案できることが強みです。インプラントしか専門性がないところは必然と入れ歯は除外されるので、消去法的にインプラントの見積もりになることもあり、それが患者様の選択肢を知らないうちに狭めていることもあります。
インプラント治療に
関するよくある質問
インプラント手術中の
痛みはありますか?
手術中は局所麻酔をしっかり効かせるため、痛みを感じることはほとんどありません。当院では麻酔の打ち方にも工夫を凝らし、痛みを最小限に抑えています。
また、手術への恐怖心が強い方には、リラックス効果のある静脈内鎮静法も選択可能です。痛みに配慮した治療をおこないますので、ご安心ください。
インプラントの治療に
年齢制限はありますか?
インプラント治療には、基本的に年齢の上限はありません。ただし、骨の成長が完了する20歳頃からであれば、何歳でも治療を受けられます。
大切なのは年齢ではなく、全身の健康状態です。健康で外科手術に耐えられる体力があれば、ご高齢の方でも問題ありません。
インプラントは持病があっても
治療を受けられますか?
インプラントは、糖尿病や骨粗しょう症などの持病がある場合でも治療可能なケースが多いです。かかりつけ医としっかり連携し、病状が安定していることを確認したうえで治療計画を立案いたします。
また、現在の健康状態が分かるお薬手帳などの資料をお持ちください。病状によってはお受けできない場合もございます。安全を第一に考え、慎重に治療の可否を判断いたします。
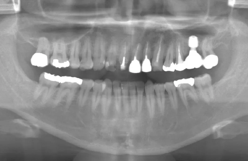
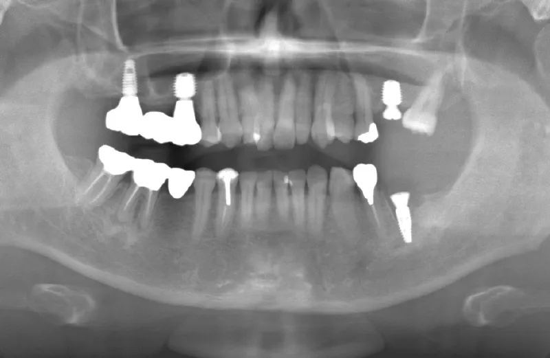
メガジェンオペ症例
メガジェンオペの症例紹介01
治療前
治療後
| 主訴 | 入れ歯は以前に入れたことがあるが違和感が強く入れられなかったので右上左上をインプラントで治療して欲しい。 左上は他院では上顎洞までの垂直骨量が1mm程度しかないのでサイナスリフトが必須であり、インプラント治療で歯が入るまでに1年以上かかると言われたのでセカンドオピニオンを希望で来院。 |
|---|---|
| 治療期間 | 右上は2.5ヶ月、左上は3.5ヶ月で仮歯が入り、 4.5ヶ月で最終補綴物が入って終了。 |
| 治療費 | 約2,300,000円 |
| 治療内容 | エクストラワイドショートインプラントを埋入し、上顎洞を移植材を用いずに挙上しインプラントを埋入した。仮歯を装着し、様々な機能面に問題がないことを確認し4.5ヶ月で最終補綴物を装着して終了した。 |
| 治療の リスク |
インプラント埋入オペ時に術者が上顎洞内にインプラントを迷入させる可能性がある。これは術者が技術的に熟練していれば防ぐことが可能。 |
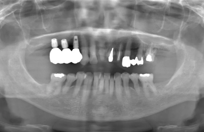
メガジェンオペの症例紹介02
治療前
治療後
| 主訴 | 入れ歯は以前に入れたことがあるが違和感が強く入れられなかった。これ以上歯を失いたくないので右上をインプラントで治療して欲しい。その他の歯もなるべく残して欲しい。 他院では右上は上顎洞までの垂直骨量が2~3mm程度しかないのでサイナスリフトが必須であり、インプラント治療に1年以上かかると言われたのでセカンドオピニオンを希望で来院。 |
|---|---|
| 治療期間 | 2.5ヶ月で仮歯が入り、 4ヶ月で最終補綴物が入って終了。 |
| 治療費 | 約1,500,000円 |
| 治療内容 | エクストラワイドショートインプラントを埋入し、上顎洞を移植材を用いずに挙上しインプラントを埋入した。約2.5ヶ月で仮歯を装着し、様々な機能面に問題がないことを確認し4ヶ月で最終補綴物を装着して終了した。 |
| 治療の リスク |
インプラント埋入オペ時に術者が上顎洞内にインプラントを迷入させる可能性がある。これは術者が技術的に熟練していれば防ぐことが可能。 |
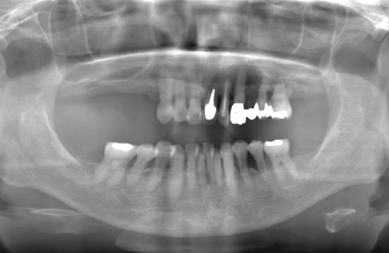
メガジェンオペの症例紹介03
治療前
治療後
| 主訴 | 他院では左上6は歯根が割れており、保存出来ないと言われた。 歯を削りたくないのでブリッジは嫌でインプラント治療を希望するも歯の根の先に骨が少なく、抜歯後しばらく待ってからサイナスリフトが必須であり、インプラント治療に1年以上かかると言われたのでセカンドオピニオンを希望で来院。 |
|---|---|
| 治療期間 | 2.5ヶ月で仮歯が入り、 4ヶ月で最終補綴物が入って終了。 |
| 治療費 | 約550,000円 |
| 治療内容 | エクストラワイドショートインプラントを埋入し、上顎洞を移植材を用いずに挙上しインプラントを埋入した。約2.5ヶ月で仮歯を装着し、様々な機能面に問題がないことを確認し4ヶ月で最終補綴物を装着して終了した。 |
| 治療の リスク |
インプラント埋入オペ時に術者が上顎洞内にインプラントを迷入させる可能性がある。これは術者が技術的に熟練していれば防ぐことが可能。 |
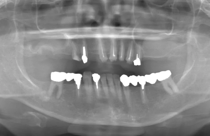
メガジェンオペの症例紹介04
治療前
治療後
| 主訴 | 他院では左上6左下6右上567の根が割れているのと、虫歯が深く保存できないと言われた。 残っている骨の状態が悪く、上顎洞までの垂直骨量が不足しているので抜歯後しばらく待ってからサイナスリフトが必須であり、インプラント治療に1.5年かかると言われたのでセカンドオピニオンを希望で来院。入れ歯は嫌でどうにか短期間で噛めるようにインプラントでの治療を希望している。 |
|---|---|
| 治療期間 | 2.5ヶ月で仮歯が入り、 4ヶ月で最終補綴物が入って終了。 |
| 治療費 | 約2,000,000円 |
| 治療内容 | 上顎にはエクストラワイドショートインプラントを埋入し、上顎洞を移植材を用いずに挙上しインプラントを埋入した。約2.5ヶ月で仮歯を装着し、様々な機能面に問題がないことを確認し4ヶ月で最終補綴物を装着して終了した。 |
| 治療の リスク |
インプラント埋入オペ時に術者が上顎洞内にインプラントを迷入させる可能性がある。これは術者が技術的に熟練していれば防ぐことが可能。 |

